Home Practice
For learners and parents For teachers and schools
Past papers Textbooks
Mathematics
Mathematics Grade 7 Mathematics Grade 8 Mathematics Grade 9 Mathematics Grade 10 Mathematics Grade 11 Mathematics Grade 12
Mathematical Literacy
Mathematical Literacy Grade 10
Physical Sciences
Physical Sciences Grade 10 Physical Sciences Grade 11 Physical Sciences Grade 12
Natural Sciences
Natural Sciences Grade 4 Natural Sciences Grade 5 Natural Sciences Grade 6 Natural Sciences Grade 7 Natural Sciences Grade 8 Natural Sciences Grade 9
Life Sciences
Life Sciences Grade 10
CAT
CAT Grade 10 CAT Grade 11 CAT Grade 12
IT
IT Grade 10 IT Grade 11 IT Grade 12
Full catalogue
Leaderboards
Learners Leaderboard Grades Leaderboard Schools Leaderboard
Campaigns
Headstart #MillionMaths
Learner opportunities Pricing Support
Help centre Contact us
Log in

We think you are located in South Africa. Is this correct?

6.7 Diseases

6.7 Diseases (ESG8P)

As a result of wear-and-tear over time and due to lack of proper nutrition, individuals can develop bone problems. Common bone problems include rickets, osteoporosis and arthritis.

Rickets (ESG8Q)

Rickets is a disease that is most commonly caused by a lack of vitamin D, however it can also be caused by deficiencies in phosphorous or calcium. Deficiencies in these key nutrients results in a softening of the bone tissue, leading to fractures and bone deformities in children. Rickets is a widespread childhood disease in many developing countries.

Figure 6.31: The diagram shows the difference between a normal patient and a rickets patient.

Osteoporosis (ESG8R)

Osteoporosis is derived from the Greek words for bone (ostoun), and pore (poros). It is common in older people, especially women.

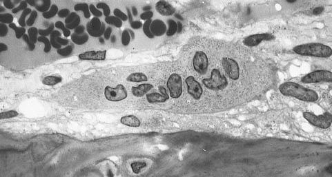
Bones are constantly being broken down by osteoclasts and built up by osteoblasts. When the process of breakdown and deposition are evenly matched bone mass is maintained. However, when there is a shortage of calcium in the body or when a bone is inactive (e.g leg in plaster or immobilised), calcium is withdrawn from the bone for use in other parts of the body. This results in an increased breakdown of bone tissue without an increase in deposit of new bone by osteoblasts. Excessive breakdown without new bone deposition results in the development of holes/pores in the bone (hence the name of the disease). A decrease in bone density makes the bone weak and prone to fractures. The most typical fractures are of the spine, wrist and hip.

Osteoporosis is common in older women whose oestrogen levels drop after menopause. Oestrogen usually suppresses osteoclast activity (bone resorption). When oestogen levels drop, the activity of osteoclasts is no longer inhibited and bone breakdown exceeds bone formation. This results in an overall loss of bone mass.

Figure 6.32: Bone marrow derived cells with bone below it showing the typical distinguishing characteristics of the osteoporosis cells: large cells with multiple nuclei and a `foamy' cytosol.

Figure 6.33: Pictures illustrating the onset of osteoporosis.

Arthritis (ESG8S)

Arthritis is a diseases caused by disorders of joints or inflammation of them. There are several types of arthritis. The hand of an individual affected by a particular form of arthritis called rheumatoid arthritis can be seen in Figure 6.34. It is caused by an individual's cells being attacked by their own immune system and is known as an auto-immune disorder. The immune system attacks the body tissues and most damage occurs in the cartilage found between joints.

Figure 6.34: The hands shown have been affected by arthritis.

Arthritis can also be caused by the daily wear-and-tear of a joint, when bones constantly rub against each other. It can affect the hands, the knee, feet, hip and back. It usually affects the elderly but can also result from an injury. The disease can also result from a lifestyle characterised by lack of exercise.

Arthritis cannot be cured. However, in rare cases joint replacement is available.

Visualise osteoarthritis

Video: 2CTF

TEACHER RESOURCES:

Further reading on the web:

Types of arthritis: